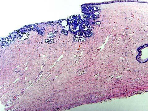
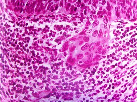
女性,30岁,检查宫颈糜烂,活检CINⅢ级可疑原位癌,行LEEP刀治疗,镜检如图,应诊断为 ( )A.宫颈原位癌局灶微浸润B.宫颈原位癌C...

作者: rantiku 人气: - 评论: 0
问题 女性,30岁,检查宫颈糜烂,活检CINⅢ级可疑原位癌,行LEEP刀治疗,镜检如图,应诊断为 ( )
选项 A.宫颈原位癌局灶微浸润 B.宫颈原位癌 C.宫颈上皮CINⅢ级 D.宫颈上皮CINⅢ级伴原位癌 E.宫颈浸润性鳞状细胞癌
答案 A
解析

猜你喜欢

发表评论
更多 网友评论0 条评论)
暂无评论

访问排行

Copyright © 2012-2014 恰考网 Inc. 保留所有权利。 Powered by tikuer.com

页面耗时0.0379秒, 内存占用1.03 MB, Cache:redis,访问数据库14次