男性,3岁,发现阴囊肿块1月余,血AFP(+),HCG(-)。切除右侧睾丸,大体见睾丸内一肿块3cm×2cm×2cm,实性,质地软,切面灰红。镜检肿瘤由疏...

作者: rantiku 人气: - 评论: 0
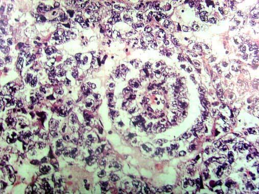
问题 男性,3岁,发现阴囊肿块1月余,血AFP(+),HCG(-)。切除右侧睾丸,大体见睾丸内一肿块3cm×2cm×2cm,实性,质地软,切面灰红。镜检肿瘤由疏松网状结构伴蜂窝样微囊组成,囊壁内衬扁平、多形的间皮样细胞,核染色质多,核分裂易见,并见S-D小体(如图),应诊断为 ( )
选项 A.睾丸卵黄囊瘤 B.睾丸胚胎性癌 C.睾丸精原细胞瘤 D.绒毛膜上皮癌 E.睾丸结核
答案 A
解析

猜你喜欢

发表评论
更多 网友评论0 条评论)
暂无评论

访问排行

Copyright © 2012-2014 恰考网 Inc. 保留所有权利。 Powered by tikuer.com

页面耗时0.0747秒, 内存占用1.03 MB, Cache:redis,访问数据库19次