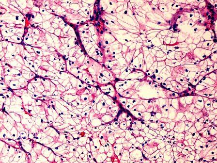
患者,男,44岁。间歇性肉眼血尿2月,右腰酸痛半个月。肾动脉造影,右肾中下级血管丰富,有肿瘤血管染色,考虑为右肾肿瘤,行右肾切除后送病理检验,镜检如图所示...

作者: rantiku 人气: - 评论: 0
问题 患者,男,44岁。间歇性肉眼血尿2月,右腰酸痛半个月。肾动脉造影,右肾中下级血管丰富,有肿瘤血管染色,考虑为右肾肿瘤,行右肾切除后送病理检验,镜检如图所示,正确的诊断为 ( )
选项 A.右肾透明细胞癌 B.右肾错构瘤 C.右肾颗粒细胞癌 D.右肾乳头状腺癌 E.右肾母细胞瘤
答案 A
解析

猜你喜欢

发表评论
更多 网友评论0 条评论)
暂无评论

访问排行

Copyright © 2012-2014 恰考网 Inc. 保留所有权利。 Powered by tikuer.com

页面耗时0.0409秒, 内存占用1.03 MB, Cache:redis,访问数据库16次