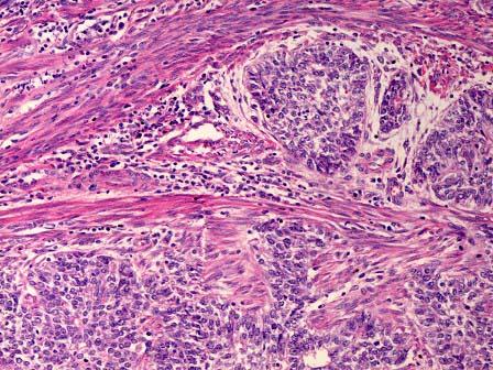
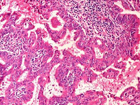
女性,55岁,绝经后阴道不规则出血。行子宫切除,显微镜下见腺体不规则,较多腺样结构,细胞异型,分化差,核分裂易见,可见片状实性区,占肿瘤部分的40%左右,...

作者: rantiku 人气: - 评论: 0
问题 女性,55岁,绝经后阴道不规则出血。行子宫切除,显微镜下见腺体不规则,较多腺样结构,细胞异型,分化差,核分裂易见,可见片状实性区,占肿瘤部分的40%左右,(如图)。应诊断为 ( )
选项 A.子宫内膜腺癌Ⅰ级 B.子宫内膜腺癌Ⅱ级 C.子宫内膜腺癌Ⅲ级 D.子宫内膜间质癌肉瘤 E.子宫内膜腺肌瘤
答案 B
解析

猜你喜欢

发表评论
更多 网友评论0 条评论)
暂无评论

访问排行

Copyright © 2012-2014 恰考网 Inc. 保留所有权利。 Powered by tikuer.com

页面耗时0.0596秒, 内存占用1.03 MB, Cache:redis,访问数据库16次