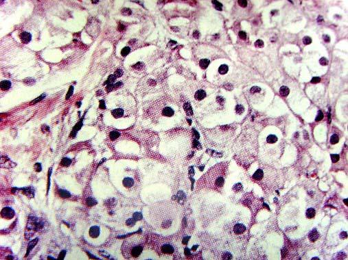
男性,44岁,半年前发现乳房开始肿大,两周前睾丸无意中触及肿物,行睾丸切除。大体如图,睾丸内一棕红色实性结节,直径3cm,与周围组织境界清。显微镜下见肿瘤...

作者: rantiku 人气: - 评论: 0
问题 男性,44岁,半年前发现乳房开始肿大,两周前睾丸无意中触及肿物,行睾丸切除。大体如图,睾丸内一棕红色实性结节,直径3cm,与周围组织境界清。显微镜下见肿瘤细胞边界清楚,呈实性生长,细胞多角形,胞浆丰富,颗粒状,嗜酸性(如图)。你认为最有可能的诊断是 ( )
选项 A.睾丸结节状间质细胞增生 B.大细胞钙化性Sertoli细胞瘤 C.睾丸间质细胞瘤 D.睾丸卵黄囊瘤 E.睾丸畸胎瘤
答案 C
解析

猜你喜欢

发表评论
更多 网友评论0 条评论)
暂无评论

访问排行

Copyright © 2012-2014 恰考网 Inc. 保留所有权利。 Powered by tikuer.com

页面耗时0.0436秒, 内存占用1.03 MB, Cache:redis,访问数据库20次