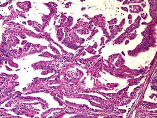
女,46岁。血尿1个月就诊。B超见左肾5cm×5cm×3cm实性肿块。尿路造影见右肾正常,左肾肾盂肾盏显影,但肾盏拉长移位。考虑为肾癌,遂行左肾切除术,患...

作者: rantiku 人气: - 评论: 0
问题 女,46岁。血尿1个月就诊。B超见左肾5cm×5cm×3cm实性肿块。尿路造影见右肾正常,左肾肾盂肾盏显影,但肾盏拉长移位。考虑为肾癌,遂行左肾切除术,患肾镜检如图所示,请作出镜下诊断 ( )
选项 A.左肾颗粒细胞癌 B.左肾透明细胞癌 C.左肾母细胞瘤 D.左肾乳头状腺癌 E.左肾梭形细胞癌
答案 D
解析

猜你喜欢

发表评论
更多 网友评论0 条评论)
暂无评论

访问排行

Copyright © 2012-2014 恰考网 Inc. 保留所有权利。 Powered by tikuer.com

页面耗时0.0333秒, 内存占用1.03 MB, Cache:redis,访问数据库19次