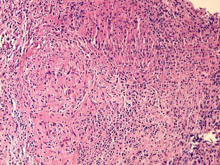
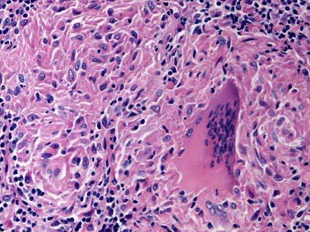
女性,30岁,已婚,同居6年未孕,诊刮见子宫内膜腺体与间质比1:1,腺体增生,如图,应诊断为 ( )A.子宫内膜单纯性增生B.子宫内膜复杂性增...

作者: rantiku 人气: - 评论: 0
问题 女性,30岁,已婚,同居6年未孕,诊刮见子宫内膜腺体与间质比1:1,腺体增生,如图,应诊断为 ( )
选项 A.子宫内膜单纯性增生 B.子宫内膜复杂性增生 C.子宫内膜单纯性增生伴非典型增生 D.子宫内膜复杂性增生伴非典型增生 E.子宫内膜结核
答案 E
解析

猜你喜欢

发表评论
更多 网友评论0 条评论)
暂无评论

访问排行

Copyright © 2012-2014 恰考网 Inc. 保留所有权利。 Powered by tikuer.com

页面耗时0.0955秒, 内存占用1.03 MB, Cache:redis,访问数据库19次