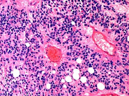
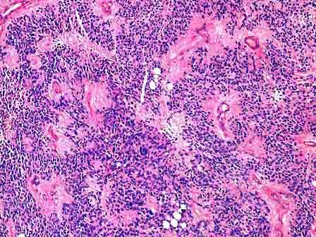
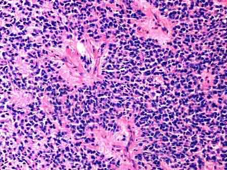
男性,20岁,头痛、头晕3年,昏迷1天。CT发现第四脑室肿块。因家属不配合治疗死亡,尸检见脑组织大体如图,镜检如图所示,请作出诊断 ( )...

作者: rantiku 人气: - 评论: 0
问题 男性,20岁,头痛、头晕3年,昏迷1天。CT发现第四脑室肿块。因家属不配合治疗死亡,尸检见脑组织大体如图,镜检如图所示,请作出诊断 ( )
选项 A.第四脑室脑膜瘤 B.第四脑室星形细胞瘤 C.第四脑室室管膜瘤 D.第四脑室脑血管畸形 E.第四脑室髓母细胞瘤
答案 C
解析

猜你喜欢

发表评论
更多 网友评论0 条评论)
暂无评论

访问排行

Copyright © 2012-2014 恰考网 Inc. 保留所有权利。 Powered by tikuer.com

页面耗时0.0647秒, 内存占用1.03 MB, Cache:redis,访问数据库18次