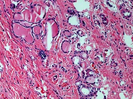
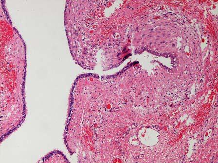
患者女性,30岁,因颈部包块逐渐增大,气促而入院手术,术中见包块呈囊状,与舌根部盲孔相通。术后巨检囊内含清亮液体,囊壁厚0.1 cm。镜检如图所示,最可能...

作者: rantiku 人气: - 评论: 0
问题 患者女性,30岁,因颈部包块逐渐增大,气促而入院手术,术中见包块呈囊状,与舌根部盲孔相通。术后巨检囊内含清亮液体,囊壁厚0.1 cm。镜检如图所示,最可能的诊断是 ( )
选项 A.结节性甲状腺肿囊性变 B.甲状舌管囊肿 C.鳃裂囊肿 D.单纯性甲状腺肿 E.舌黏液囊肿
答案 B
解析

猜你喜欢

发表评论
更多 网友评论0 条评论)
暂无评论

访问排行

Copyright © 2012-2014 恰考网 Inc. 保留所有权利。 Powered by tikuer.com

页面耗时0.0364秒, 内存占用1.03 MB, Cache:redis,访问数据库19次