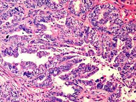
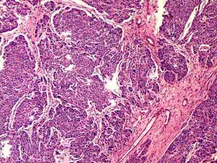
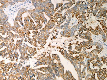
女性,62岁,双侧卵巢囊性包块。大体囊肿切面为多房,直径612cm,内含混浊液体,显微镜下见囊壁内衬上皮细胞异型性明显,形成复杂腺体和乳头结构,并见出芽及...

作者: rantiku 人气: - 评论: 0
问题 女性,62岁,双侧卵巢囊性包块。大体囊肿切面为多房,直径612cm,内含混浊液体,显微镜下见囊壁内衬上皮细胞异型性明显,形成复杂腺体和乳头结构,并见出芽及实性巢状区(如图)。免疫组化CK7,CA125如图所示,应诊断为 ( )
选项 A.卵巢浆液性交界性囊腺瘤 B.伴微浸润的浆液性肿瘤 C.卵巢浆液性囊腺癌 D.卵巢黏液性囊腺癌 E.卵巢黏液性交界性囊腺瘤
答案 C
解析

猜你喜欢

发表评论
更多 网友评论0 条评论)
暂无评论

访问排行

Copyright © 2012-2014 恰考网 Inc. 保留所有权利。 Powered by tikuer.com

页面耗时0.0594秒, 内存占用1.03 MB, Cache:redis,访问数据库18次