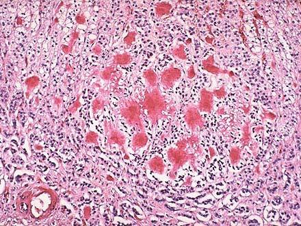
患者,27岁,男性,两年来出现渐进性无力,低血糖,低血钠,低血压及色素沉着等症状。B超示双侧肾上腺肿大。行手术治疗,术后病检镜下见皮质细胞萎缩,皮质窦隙内...

作者: rantiku 人气: - 评论: 0
问题 患者,27岁,男性,两年来出现渐进性无力,低血糖,低血钠,低血压及色素沉着等症状。B超示双侧肾上腺肿大。行手术治疗,术后病检镜下见皮质细胞萎缩,皮质窦隙内大量匀质无结构物质沉积,刚果红染色如图所示,正确的诊断应是 ( )
选项 A.肾上腺淀粉样变 B.肾上腺纤维化 C.肾上腺坏死 D.肾上腺出血 E.肾上腺炎
答案 A
解析

猜你喜欢

发表评论
更多 网友评论0 条评论)
暂无评论

访问排行

Copyright © 2012-2014 恰考网 Inc. 保留所有权利。 Powered by tikuer.com

页面耗时0.0364秒, 内存占用1.03 MB, Cache:redis,访问数据库19次