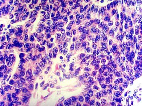
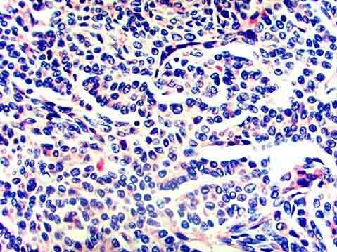
女性,30岁。体检B超发现左附件囊肿4月余。妇检左附件压可触及一约4cm×3cm×3cm的肿块,触痛不明显。切除左侧卵巢。大体切面囊实相间,镜下见肿瘤细胞...

作者: rantiku 人气: - 评论: 0
问题 女性,30岁。体检B超发现左附件囊肿4月余。妇检左附件压可触及一约4cm×3cm×3cm的肿块,触痛不明显。切除左侧卵巢。大体切面囊实相间,镜下见肿瘤细胞排列成菊团状,部分呈腺样或索状排列,细胞大小一致(如图)。核致密,部分胞浆透亮,核分裂象易见。应诊断为 ( )
选项 A.卵巢黏液性囊腺瘤 B.卵巢实性畸胎瘤 C.卵巢粒细胞瘤 D.卵巢未分化细胞瘤 E.以上都不是
答案 C
解析

猜你喜欢

发表评论
更多 网友评论0 条评论)
暂无评论

访问排行

Copyright © 2012-2014 恰考网 Inc. 保留所有权利。 Powered by tikuer.com

页面耗时0.0405秒, 内存占用1.03 MB, Cache:redis,访问数据库19次