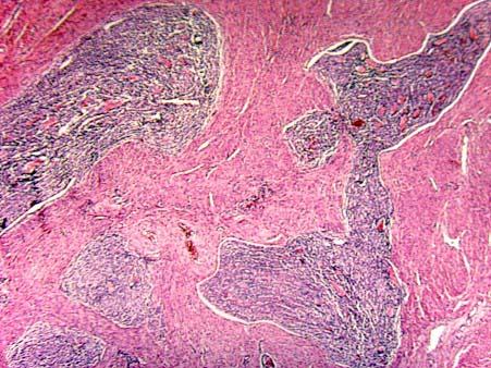
女性,46岁,B超检查发现子宫异常增大,行子宫切除。大体见子宫一肿物呈圆形,表面粗糙,切面可见坏死(如图)。显微镜下见肿瘤细胞大小较一致,核分裂多见,10...

作者: rantiku 人气: - 评论: 0
问题 女性,46岁,B超检查发现子宫异常增大,行子宫切除。大体见子宫一肿物呈圆形,表面粗糙,切面可见坏死(如图)。显微镜下见肿瘤细胞大小较一致,核分裂多见,10个/10HP,部分区见浸润性生长(如图)。免疫组化DES(-)、CD10(+)。最可能的诊断为 ( )
选项 A.子宫平滑肌瘤 B.子宫平滑肌肉瘤 C.子宫内膜间质结节 D.子宫内膜间质肉瘤 E.子宫未分化肉瘤
答案 D
解析

猜你喜欢

发表评论
更多 网友评论0 条评论)
暂无评论

访问排行

Copyright © 2012-2014 恰考网 Inc. 保留所有权利。 Powered by tikuer.com

页面耗时0.0409秒, 内存占用1.03 MB, Cache:redis,访问数据库19次