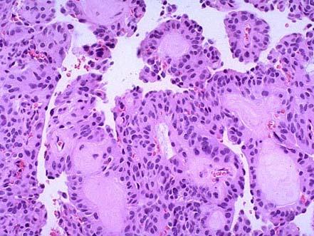
女性,15岁,头痛3年。CT示左侧脑室见一圆形肿块。行肿块切除术后镜检如图所示,请作出诊断 ( )A.左侧脑室脑膜瘤B.左侧脑室星形胶质细胞瘤...

作者: rantiku 人气: - 评论: 0
问题 女性,15岁,头痛3年。CT示左侧脑室见一圆形肿块。行肿块切除术后镜检如图所示,请作出诊断 ( )
选项 A.左侧脑室脑膜瘤 B.左侧脑室星形胶质细胞瘤 C.左侧脑室髓母细胞瘤 D.左侧脑室脑血管畸形 E.左侧脑室乳头状室管膜瘤
答案 E
解析

猜你喜欢

发表评论
更多 网友评论0 条评论)
暂无评论

访问排行

Copyright © 2012-2014 恰考网 Inc. 保留所有权利。 Powered by tikuer.com

页面耗时0.0537秒, 内存占用1.03 MB, Cache:redis,访问数据库19次