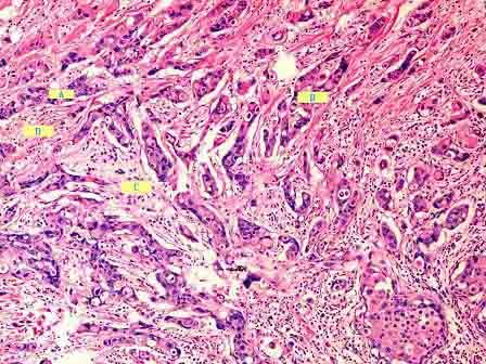
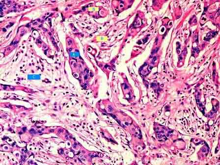
任何肿瘤组织都由实质和间质两部分构成,如图为乳腺癌之镜下观,以下说法不正确的是 ( )A.A为肿瘤实质B.B为肿瘤间质C.C为肿瘤间质...

作者: rantiku 人气: - 评论: 0
问题 任何肿瘤组织都由实质和间质两部分构成,如图为乳腺癌之镜下观,以下说法不正确的是 ( )
选项 A.A为肿瘤实质 B.B为肿瘤间质 C.C为肿瘤间质 D.D为肿瘤间质 E.B为肿瘤实质
答案 B
解析

猜你喜欢

发表评论
更多 网友评论0 条评论)
暂无评论

访问排行

Copyright © 2012-2014 恰考网 Inc. 保留所有权利。 Powered by tikuer.com

页面耗时0.0431秒, 内存占用1.03 MB, Cache:redis,访问数据库19次