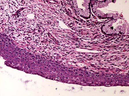
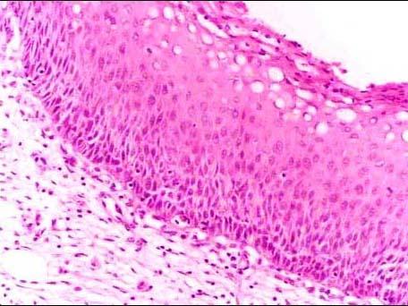
女性,42岁,阴道接触性出血10天。宫颈活检镜下示鳞状上皮增生,部分细胞异型,局限在宫颈上皮层的下1/32/3(如图所示),正确的诊断是 ( )A...

作者: rantiku 人气: - 评论: 0
问题 女性,42岁,阴道接触性出血10天。宫颈活检镜下示鳞状上皮增生,部分细胞异型,局限在宫颈上皮层的下1/32/3(如图所示),正确的诊断是 ( )
选项 A.CINⅠ级 B.CINⅡ级 C.CINⅢ级 D.宫颈原位癌 E.宫颈鳞状上皮化生
答案 B
解析

猜你喜欢

发表评论
更多 网友评论0 条评论)
暂无评论

访问排行

Copyright © 2012-2014 恰考网 Inc. 保留所有权利。 Powered by tikuer.com

页面耗时0.0339秒, 内存占用1.03 MB, Cache:redis,访问数据库18次