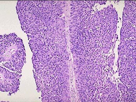
患者,男,55岁,因无痛性肉眼血尿就诊,膀胱镜见膀胱侧壁有一直径3cm的肿块,暗红色,表面有溃疡。活检如下图所示,确切的诊断是 ( )A.膀胱结核...

作者: rantiku 人气: - 评论: 0
问题 患者,男,55岁,因无痛性肉眼血尿就诊,膀胱镜见膀胱侧壁有一直径3cm的肿块,暗红色,表面有溃疡。活检如下图所示,确切的诊断是 ( )
选项 A.膀胱结核 B.膀胱慢性炎 C.膀胱移行细胞乳头状瘤 D.膀胱移行细胞癌 E.以上都不是
答案 D
解析

猜你喜欢

发表评论
更多 网友评论0 条评论)
暂无评论

访问排行

Copyright © 2012-2014 恰考网 Inc. 保留所有权利。 Powered by tikuer.com

页面耗时0.0433秒, 内存占用1.03 MB, Cache:redis,访问数据库20次