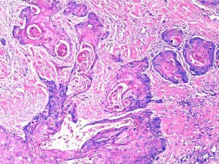
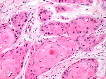
患者,男,56岁,进行性声嘶2周,喉镜见声门区见一菜花状肿物,约2cm×1cm×0.6cm大小,取活检镜下如图所示,该患者正确的诊断是 ( )A....

作者: rantiku 人气: - 评论: 0
问题 患者,男,56岁,进行性声嘶2周,喉镜见声门区见一菜花状肿物,约2cm×1cm×0.6cm大小,取活检镜下如图所示,该患者正确的诊断是 ( )
选项 A.声带息肉 B.喉结核 C.慢性咽喉炎 D.喉鳞状细胞癌 E.喉乳头状瘤
答案 D
解析

猜你喜欢

发表评论
更多 网友评论0 条评论)
暂无评论

访问排行

Copyright © 2012-2014 恰考网 Inc. 保留所有权利。 Powered by tikuer.com

页面耗时0.0506秒, 内存占用1.03 MB, Cache:redis,访问数据库18次