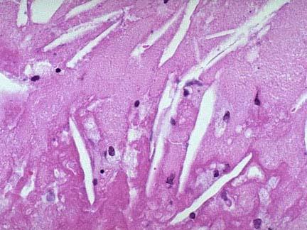
主动脉粥样硬化巨检如图,镜下观如图所示,该病变最佳名称为 ( )A.脂纹B.纤维斑块C.粥样斑块D.粥瘤性溃疡E.动脉瘤形成

作者: rantiku 人气: - 评论: 0
问题 主动脉粥样硬化巨检如图,镜下观如图所示,该病变最佳名称为 ( )
选项 A.脂纹 B.纤维斑块 C.粥样斑块 D.粥瘤性溃疡 E.动脉瘤形成
答案 D
解析

猜你喜欢

发表评论
更多 网友评论0 条评论)
暂无评论

访问排行

Copyright © 2012-2014 恰考网 Inc. 保留所有权利。 Powered by tikuer.com

页面耗时0.0359秒, 内存占用1.03 MB, Cache:redis,访问数据库17次