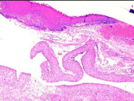
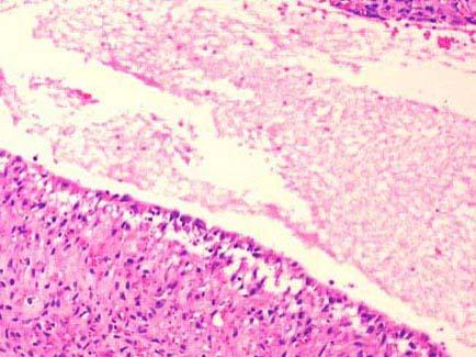
患者,男,27岁,近日来声嘶伴吞咽疼痛,喉镜见声门上区有一灰白色囊状物,约1cm×0.6cm×0.5cm大小,活检镜下如图所示,正确的诊断是 ( ) ...

作者: rantiku 人气: - 评论: 0
问题 患者,男,27岁,近日来声嘶伴吞咽疼痛,喉镜见声门上区有一灰白色囊状物,约1cm×0.6cm×0.5cm大小,活检镜下如图所示,正确的诊断是 ( )
选项 A.甲状舌骨囊肿 B.声带息肉 C.会厌囊肿 D.喉纤维瘤 E.喉神经纤维瘤
答案 C
解析

猜你喜欢

发表评论
更多 网友评论0 条评论)
暂无评论

访问排行

Copyright © 2012-2014 恰考网 Inc. 保留所有权利。 Powered by tikuer.com

页面耗时0.0978秒, 内存占用1.02 MB, Cache:redis,访问数据库14次