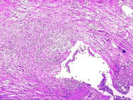
患者,女,25岁,长期慢性咳嗽伴大量脓臭痰,反复咯血。手术切除病变肺叶,巨检如图,镜检如图所示,确切的诊断是 ( )A.慢性支气管炎B.支...

作者: rantiku 人气: - 评论: 0
问题 患者,女,25岁,长期慢性咳嗽伴大量脓臭痰,反复咯血。手术切除病变肺叶,巨检如图,镜检如图所示,确切的诊断是 ( )
选项 A.慢性支气管炎 B.支气管扩张症 C.肺结核 D.肺脓肿 E.弥漫性泛支气管炎
答案 B
解析

猜你喜欢

发表评论
更多 网友评论0 条评论)
暂无评论

访问排行

Copyright © 2012-2014 恰考网 Inc. 保留所有权利。 Powered by tikuer.com

页面耗时0.0356秒, 内存占用1.03 MB, Cache:redis,访问数据库19次