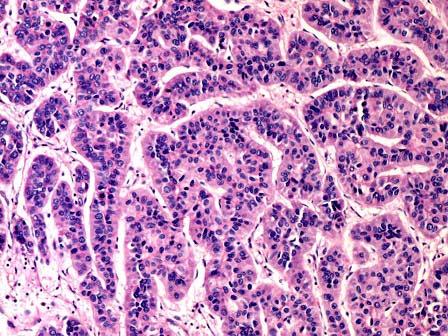
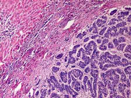
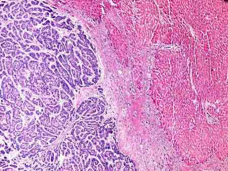
某患者CT示肝区有一3cm×3cm×2cm占位病灶,病检镜下观如图,以下诊断最可能的为 ( )A.肝硬化B.原发性肝细胞癌C.肝海绵状...

作者: rantiku 人气: - 评论: 0
问题 某患者CT示肝区有一3cm×3cm×2cm占位病灶,病检镜下观如图,以下诊断最可能的为 ( )
选项 A.肝硬化 B.原发性肝细胞癌 C.肝海绵状血管瘤 D.肝脓肿 E.以上均不是
答案 B
解析

猜你喜欢

发表评论
更多 网友评论0 条评论)
暂无评论

访问排行

Copyright © 2012-2014 恰考网 Inc. 保留所有权利。 Powered by tikuer.com

页面耗时0.0605秒, 内存占用1.02 MB, Cache:redis,访问数据库13次