死者,女性,28岁。因败血症死亡。发病初期曾有持续发热、腰痛、尿频、尿急、脓尿等症状。尸检见双肾肿大,包膜紧张,肾盂肾盏黏膜充血、水肿、表面有脓性分泌物,...

作者: rantiku 人气: - 评论: 0
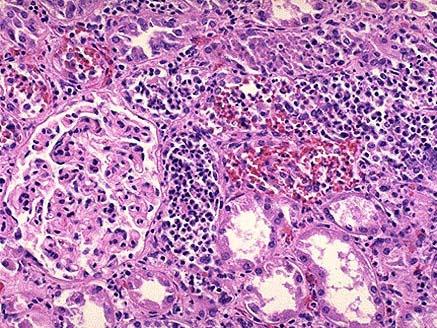
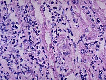
问题 死者,女性,28岁。因败血症死亡。发病初期曾有持续发热、腰痛、尿频、尿急、脓尿等症状。尸检见双肾肿大,包膜紧张,肾盂肾盏黏膜充血、水肿、表面有脓性分泌物,并可见小脓肿(如图),镜检如图所示,正确诊断为 ( )
选项 A.肾结核 B.慢性肾小球肾炎 C.急性肾盂肾炎 D.高血压性肾病 E.以上都不正确
答案 C
解析

猜你喜欢

发表评论
更多 网友评论0 条评论)
暂无评论

访问排行

Copyright © 2012-2014 恰考网 Inc. 保留所有权利。 Powered by tikuer.com

页面耗时0.0371秒, 内存占用1.03 MB, Cache:redis,访问数据库20次