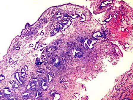
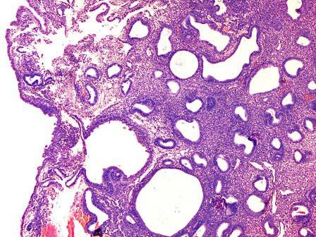
女性,46岁,因月经量不规律检查,B超发现子宫内一新生物。行子宫切除,大体见子宫底一蒂状物突出(如图)。显微镜下由腺体和纤维化间质组成(如图),易见厚壁血...

作者: rantiku 人气: - 评论: 0
问题 女性,46岁,因月经量不规律检查,B超发现子宫内一新生物。行子宫切除,大体见子宫底一蒂状物突出(如图)。显微镜下由腺体和纤维化间质组成(如图),易见厚壁血管。诊断为 ( )
选项 A.慢性子宫内膜炎 B.子宫内膜息肉 C.子宫平滑肌瘤 D.子宫内膜腺肌瘤 E.子宫内膜结核
答案 B
解析

猜你喜欢

发表评论
更多 网友评论0 条评论)
暂无评论

访问排行

Copyright © 2012-2014 恰考网 Inc. 保留所有权利。 Powered by tikuer.com

页面耗时0.0628秒, 内存占用1.03 MB, Cache:redis,访问数据库17次