女性,32岁,月经不规则伴痛经多年,B超发现左附件囊性包块,手术切除,大体如图,镜下如图。应诊断为 ( )A.平滑肌瘤红色变B.子宫内...

作者: rantiku 人气: - 评论: 0
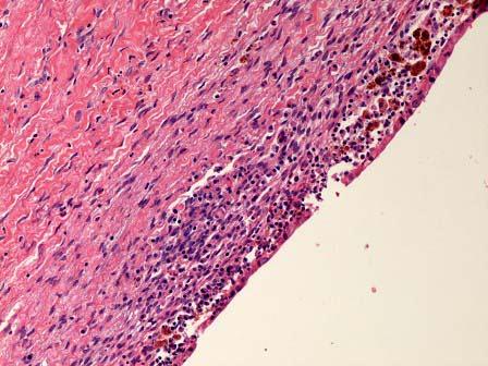
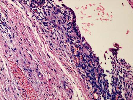
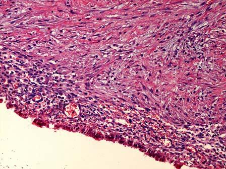
问题 女性,32岁,月经不规则伴痛经多年,B超发现左附件囊性包块,手术切除,大体如图,镜下如图。应诊断为 ( )
选项 A.平滑肌瘤红色变 B.子宫内膜异位囊肿 C.卵巢浆液性囊腺瘤 D.卵巢黏液性囊腺瘤 E.卵巢单纯性囊肿
答案 B
解析

猜你喜欢

发表评论
更多 网友评论0 条评论)
暂无评论

访问排行

Copyright © 2012-2014 恰考网 Inc. 保留所有权利。 Powered by tikuer.com

页面耗时0.0631秒, 内存占用1.02 MB, Cache:redis,访问数据库13次