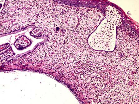
30岁,白带量多,宫颈见多个腺体开口,可见囊肿,取宫颈组织送检,显微镜下所见如图,最适合的诊断为 ( )A.宫颈鳞状上皮化生B.宫颈肠上皮...

作者: rantiku 人气: - 评论: 0
问题 30岁,白带量多,宫颈见多个腺体开口,可见囊肿,取宫颈组织送检,显微镜下所见如图,最适合的诊断为 ( )
选项 A.宫颈鳞状上皮化生 B.宫颈肠上皮化生 C.宫颈纳氏囊肿 D.鳞状上皮包涵囊肿 E.腺瘤样增生
答案 C
解析

猜你喜欢

发表评论
更多 网友评论0 条评论)
暂无评论

访问排行

Copyright © 2012-2014 恰考网 Inc. 保留所有权利。 Powered by tikuer.com

页面耗时0.0397秒, 内存占用1.03 MB, Cache:redis,访问数据库18次