女性,24岁,经产妇,曾患葡萄胎。因阴道不规则流血行妇检,见阴道前后壁数个紫红色结节,尿HCG(+)。手术切除子宫,见表面数个蚕豆大小结节,有溃烂,切面呈...

作者: rantiku 人气: - 评论: 0
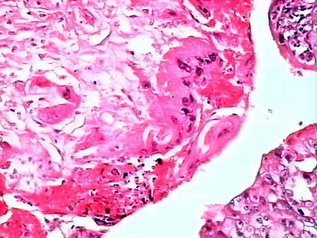
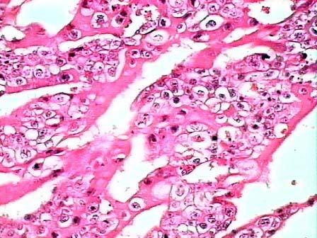
问题 女性,24岁,经产妇,曾患葡萄胎。因阴道不规则流血行妇检,见阴道前后壁数个紫红色结节,尿HCG(+)。手术切除子宫,见表面数个蚕豆大小结节,有溃烂,切面呈紫红色,边界不清已侵及肌层和浆膜。镜下见明显出血坏死的病灶中有明显异型的肿瘤细胞,呈条索状或片状排列,未见间质、血管及绒毛结构(如图)。免疫组化示HCG阳性(如图),应诊断为 ( )
选项 A.子宫绒毛膜上皮癌 B.子宫平滑肌瘤 C.子宫平滑肌肉瘤 D.子宫内膜间质结节 E.子宫内膜腺癌
答案 A
解析

猜你喜欢

发表评论
更多 网友评论0 条评论)
暂无评论

访问排行

Copyright © 2012-2014 恰考网 Inc. 保留所有权利。 Powered by tikuer.com

页面耗时0.0361秒, 内存占用1.03 MB, Cache:redis,访问数据库18次