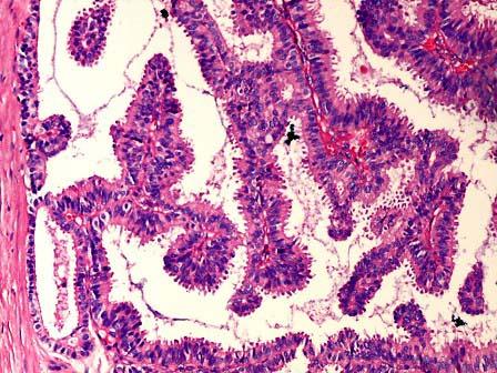
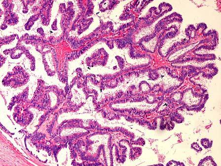
女性,40岁,右乳头溢液2月余。切除右乳,大体见一直径1cm结节。取结节制片,显微镜下见导管周围淋巴细胞浸润,粉刺型DCIS存在。基底膜不连续,肌上皮稀少...

作者: rantiku 人气: - 评论: 0
问题 女性,40岁,右乳头溢液2月余。切除右乳,大体见一直径1cm结节。取结节制片,显微镜下见导管周围淋巴细胞浸润,粉刺型DCIS存在。基底膜不连续,肌上皮稀少(如图)。应诊断为 ( )
选项 A.导管内乳头状瘤 B.导管内乳头状癌 C.囊内乳头状癌 D.微浸润癌 E.浸润癌
答案 B
解析

猜你喜欢

发表评论
更多 网友评论0 条评论)
暂无评论

访问排行

Copyright © 2012-2014 恰考网 Inc. 保留所有权利。 Powered by tikuer.com

页面耗时0.0356秒, 内存占用1.03 MB, Cache:redis,访问数据库19次