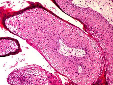
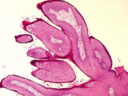
女性,43岁,白带量多,色黄,脓性,有异味,妇检发现子宫颈口一菜花状赘生物。显微镜下见细胞呈乳头状排列,并可见挖空细胞,间质小血管增生,慢性炎细胞浸润(如...

作者: rantiku 人气: - 评论: 0
问题 女性,43岁,白带量多,色黄,脓性,有异味,妇检发现子宫颈口一菜花状赘生物。显微镜下见细胞呈乳头状排列,并可见挖空细胞,间质小血管增生,慢性炎细胞浸润(如图),免疫组化示HPV6/11阳性(如图)。该妇女所患疾病为 ( )
选项 A.宫颈表皮囊肿 B.宫颈鳞状细胞癌 C.子宫颈平滑肌瘤 D.宫颈鳞状细胞乳头状瘤 E.宫颈尖锐湿疣
答案 E
解析

猜你喜欢

发表评论
更多 网友评论0 条评论)
暂无评论

访问排行

Copyright © 2012-2014 恰考网 Inc. 保留所有权利。 Powered by tikuer.com

页面耗时0.0494秒, 内存占用1.03 MB, Cache:redis,访问数据库19次