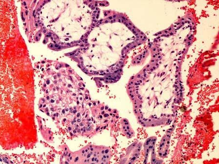
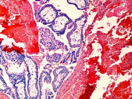
女性,36岁,停经50余天,腹痛一天,后穹隆穿刺少量新鲜血,术中见右输卵管壶腹部膨大并有活动性出血。切除右输卵管,显微镜下所见如图。应诊断为 ( ) ...

作者: rantiku 人气: - 评论: 0
问题 女性,36岁,停经50余天,腹痛一天,后穹隆穿刺少量新鲜血,术中见右输卵管壶腹部膨大并有活动性出血。切除右输卵管,显微镜下所见如图。应诊断为 ( )
选项 A.输卵管妊娠 B.副中肾管囊肿 C.急性输卵管炎 D.输卵管腺癌 E.输卵管结核
答案 A
解析

猜你喜欢

发表评论
更多 网友评论0 条评论)
暂无评论

访问排行

Copyright © 2012-2014 恰考网 Inc. 保留所有权利。 Powered by tikuer.com

页面耗时0.0697秒, 内存占用1.03 MB, Cache:redis,访问数据库19次