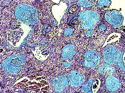
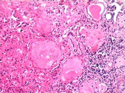
患者女性,69岁,肾功能不全进行性发展5年,肾脏严重萎缩,手术切除见双肾对称性缩小,表面颗粒状,切面皮质变薄;镜检如图所示,如图分别为HE染色和Masso...

作者: rantiku 人气: - 评论: 0
问题 患者女性,69岁,肾功能不全进行性发展5年,肾脏严重萎缩,手术切除见双肾对称性缩小,表面颗粒状,切面皮质变薄;镜检如图所示,如图分别为HE染色和Masson染色,正确的诊断是 ( )
选项 A.慢性肾盂肾炎 B.慢性肾小球肾炎 C.弥漫性肾皮质坏死 D.急性肾小球肾炎 E.急性肾盂肾炎
答案 B
解析

猜你喜欢

发表评论
更多 网友评论0 条评论)
暂无评论

访问排行

Copyright © 2012-2014 恰考网 Inc. 保留所有权利。 Powered by tikuer.com

页面耗时0.0604秒, 内存占用1.03 MB, Cache:redis,访问数据库20次