女性,22岁,曾患“肺炎”,抗生素久治不愈,消瘦。因检查发现盆腔包块行双侧输卵管切除术。大体见输卵管膨大呈球状,腔内含干酪样物。显微镜下见管壁增厚,可见上...

作者: rantiku 人气: - 评论: 0
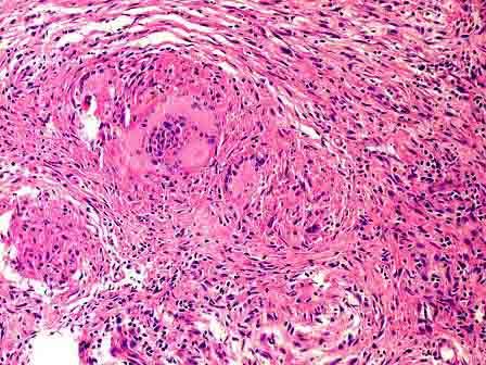
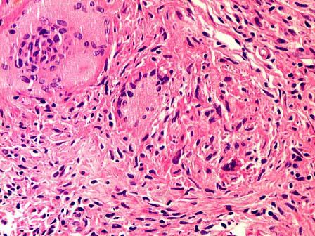
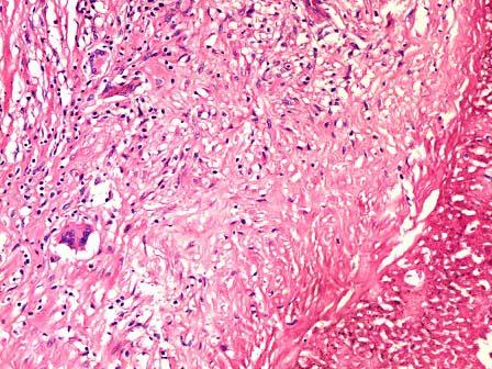
问题 女性,22岁,曾患“肺炎”,抗生素久治不愈,消瘦。因检查发现盆腔包块行双侧输卵管切除术。大体见输卵管膨大呈球状,腔内含干酪样物。显微镜下见管壁增厚,可见上皮样肉芽肿,多核巨细胞(如图),周围有密集的淋巴细胞浸润。应诊断为 ( )
选项 A.输卵管黄色肉芽肿 B.输卵管Crohn病 C.输卵管结核 D.急性输卵管炎 E.慢性输卵管炎
答案 C
解析

猜你喜欢

发表评论
更多 网友评论0 条评论)
暂无评论

访问排行

Copyright © 2012-2014 恰考网 Inc. 保留所有权利。 Powered by tikuer.com

页面耗时0.0567秒, 内存占用1.03 MB, Cache:redis,访问数据库14次