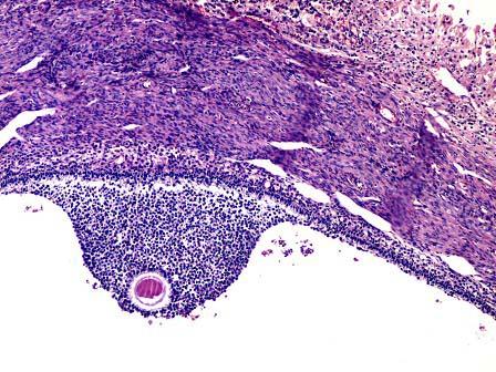
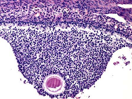
女性,24岁因左腰部持续隐痛行检查,B超示左附件处囊状肿物。行左侧卵巢切除术。大体见卵巢切面多个囊腔,直径23.5cm,囊壁极薄,腔内面光滑,内含清亮液。...

作者: rantiku 人气: - 评论: 0
问题 女性,24岁因左腰部持续隐痛行检查,B超示左附件处囊状肿物。行左侧卵巢切除术。大体见卵巢切面多个囊腔,直径23.5cm,囊壁极薄,腔内面光滑,内含清亮液。镜下如图所见滤泡增大为囊状,粒细胞层增多达3层以上。应考虑为 ( )
选项 A.囊状滤泡 B.滤泡囊肿 C.黄体囊肿 D.卵泡膜囊肿 E.粒层黄素囊肿
答案 B
解析

猜你喜欢

发表评论
更多 网友评论0 条评论)
暂无评论

访问排行

Copyright © 2012-2014 恰考网 Inc. 保留所有权利。 Powered by tikuer.com

页面耗时0.0621秒, 内存占用1.03 MB, Cache:redis,访问数据库17次