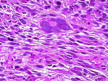
女性,44岁,月经量多且不规律1年,腹痛6个月,下腹扪及包块,行手术切除。见子宫内壁粗糙,子宫肌壁间一6cm×5cm×5cm结节,质软,境界欠清,切面灰红...

作者: rantiku 人气: - 评论: 0
问题 女性,44岁,月经量多且不规律1年,腹痛6个月,下腹扪及包块,行手术切除。见子宫内壁粗糙,子宫肌壁间一6cm×5cm×5cm结节,质软,境界欠清,切面灰红灰黄,见局灶出血坏死。显微镜下如图,免疫组化DES(+)、CD10(-),应诊断为 ( )
选项 A.子宫平滑肌瘤 B.子宫平滑肌肉瘤 C.子宫内膜间质结节 D.子宫内膜间质肉瘤 E.子宫内膜癌
答案 B
解析

猜你喜欢

发表评论
更多 网友评论0 条评论)
暂无评论

访问排行

Copyright © 2012-2014 恰考网 Inc. 保留所有权利。 Powered by tikuer.com

页面耗时0.0406秒, 内存占用1.03 MB, Cache:redis,访问数据库20次