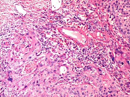
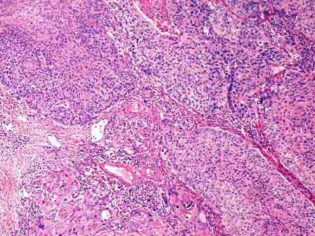
女性,52岁,白带量多异味,检查宫颈粗糙,取宫颈组织活检。显微镜下所见如图。最可能的诊断是 ( )A.CINⅡ级B.CINⅢ级C.原位癌 ...

作者: rantiku 人气: - 评论: 0
问题 女性,52岁,白带量多异味,检查宫颈粗糙,取宫颈组织活检。显微镜下所见如图。最可能的诊断是 ( )
选项 A.CINⅡ级 B.CINⅢ级 C.原位癌 D.宫颈腺癌 E.宫颈浸润性鳞状细胞癌
答案 E
解析

猜你喜欢

发表评论
更多 网友评论0 条评论)
暂无评论

访问排行

Copyright © 2012-2014 恰考网 Inc. 保留所有权利。 Powered by tikuer.com

页面耗时0.0439秒, 内存占用1.03 MB, Cache:redis,访问数据库20次