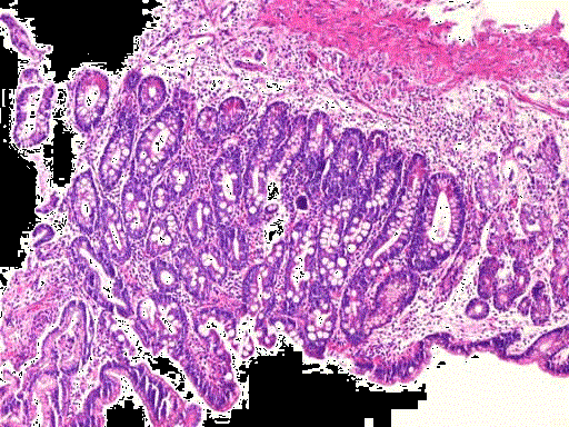
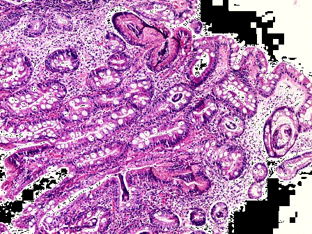
胃窦部黏膜组织活检,镜下如图所示,胃黏膜发生的有关病变的描述,错误的是 ( ) A.黏膜腺体中度肠上皮化生B.这种分化上的转向,只发生于同源...

作者: rantiku 人气: - 评论: 0
问题 胃窦部黏膜组织活检,镜下如图所示,胃黏膜发生的有关病变的描述,错误的是 ( )
选项 A.黏膜腺体中度肠上皮化生 B.这种分化上的转向,只发生于同源细胞之间 C.可分为不完全肠化和完全肠化 D.该化生对机体有利,不会发生恶变 E.该化生可恶变形成肠型腺癌
答案 D
解析

猜你喜欢

发表评论
更多 网友评论0 条评论)
暂无评论

访问排行

Copyright © 2012-2014 恰考网 Inc. 保留所有权利。 Powered by tikuer.com

页面耗时0.0670秒, 内存占用1.03 MB, Cache:redis,访问数据库17次