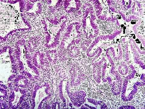
女性,40岁,月经量多不规律2月余,诊刮子宫内膜,显微镜下见腺体增生,与间质比>3:1,腺上皮部分出现假复层,核无明显异型(如图),应诊断为 ( ) ...

作者: rantiku 人气: - 评论: 0
问题 女性,40岁,月经量多不规律2月余,诊刮子宫内膜,显微镜下见腺体增生,与间质比>3:1,腺上皮部分出现假复层,核无明显异型(如图),应诊断为 ( )
选项 A.子宫内膜单纯性增生 B.子宫内膜复杂性增生 C.子宫内膜单纯性增生伴非典型增生 D.子宫内膜复杂性增生伴非典型增生 E.子宫内膜腺癌
答案 B
解析

猜你喜欢

发表评论
更多 网友评论0 条评论)
暂无评论

访问排行

Copyright © 2012-2014 恰考网 Inc. 保留所有权利。 Powered by tikuer.com

页面耗时0.0412秒, 内存占用1.03 MB, Cache:redis,访问数据库17次