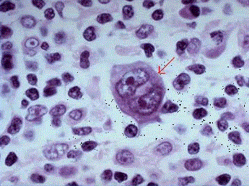
图霍奇金病镜下观,箭头所指为肿瘤细胞。 相应名称是 ( )A.Reed-Sternberg细胞(又称镜影细胞)B.霍奇金细胞(又称H细胞...

作者: rantiku 人气: - 评论: 0
问题 图霍奇金病镜下观,箭头所指为肿瘤细胞。 相应名称是 ( )
选项 A.Reed-Sternberg细胞(又称镜影细胞) B.霍奇金细胞(又称H细胞) C.L& H细胞(又称爆米花细胞) D.陷窝细胞(又称L细胞) E.多核性R-S细胞(又称巨大R-S细胞)
答案 A
解析

猜你喜欢

发表评论
更多 网友评论0 条评论)
暂无评论

访问排行

Copyright © 2012-2014 恰考网 Inc. 保留所有权利。 Powered by tikuer.com

页面耗时0.0510秒, 内存占用1.03 MB, Cache:redis,访问数据库17次