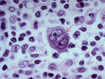
图霍奇金病镜下观,箭头所指为肿瘤细胞。 该细胞多见于哪一类霍奇金病 ( )A.混合细胞型和结节硬化型B.淋巴细胞为主型C.混合细胞型...

作者: rantiku 人气: - 评论: 0
问题 图霍奇金病镜下观,箭头所指为肿瘤细胞。 该细胞多见于哪一类霍奇金病 ( )
选项 A.混合细胞型和结节硬化型 B.淋巴细胞为主型 C.混合细胞型和淋巴细胞减少型 D.淋巴细胞减少型 E.结节硬化型
答案 C
解析

猜你喜欢

发表评论
更多 网友评论0 条评论)
暂无评论

访问排行

Copyright © 2012-2014 恰考网 Inc. 保留所有权利。 Powered by tikuer.com

页面耗时0.0360秒, 内存占用1.03 MB, Cache:redis,访问数据库19次