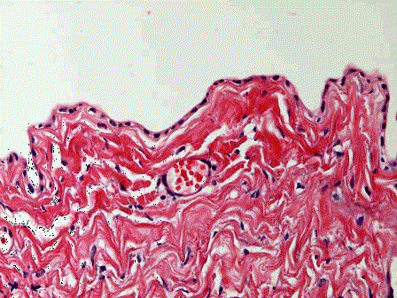
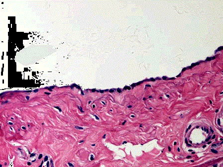
女性,28岁,剖腹产时发现左侧卵巢包块5cm×3cm×2cm,表面光滑(如图),切开内含清亮、淡黄色液体,显微镜下见囊内壁衬单层立方上皮细胞(如图),应诊...

作者: rantiku 人气: - 评论: 0
问题 女性,28岁,剖腹产时发现左侧卵巢包块5cm×3cm×2cm,表面光滑(如图),切开内含清亮、淡黄色液体,显微镜下见囊内壁衬单层立方上皮细胞(如图),应诊断为 ( )
选项 A.浆液性囊腺瘤 B.浆液性交界性囊腺瘤 C.浆液性囊腺癌 D.黏液性囊腺瘤 E.黏液性交界性囊腺瘤
答案 A
解析

猜你喜欢

发表评论
更多 网友评论0 条评论)
暂无评论

访问排行

Copyright © 2012-2014 恰考网 Inc. 保留所有权利。 Powered by tikuer.com

页面耗时0.0338秒, 内存占用1.03 MB, Cache:redis,访问数据库20次