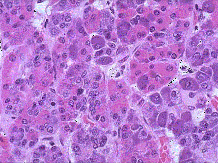
正常垂体镜下如图所示,不正确的是 ( ) A.垂体分神经垂体和腺垂体两部分B.目前认为垂体前叶共存在8种激素分泌细胞C.腺垂体细胞...

作者: rantiku 人气: - 评论: 0
问题 正常垂体镜下如图所示,不正确的是 ( )
选项 A.垂体分神经垂体和腺垂体两部分 B.目前认为垂体前叶共存在8种激素分泌细胞 C.腺垂体细胞间有丰富的血窦 D.HE染色腺垂体可区分出嗜酸、嗜碱、嫌色三种细胞 E.神经垂体主要由神经胶质细胞和神经纤维细胞构成
答案 B
解析

猜你喜欢

发表评论
更多 网友评论0 条评论)
暂无评论

访问排行

Copyright © 2012-2014 恰考网 Inc. 保留所有权利。 Powered by tikuer.com

页面耗时0.0395秒, 内存占用1.03 MB, Cache:redis,访问数据库20次