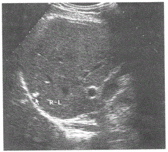
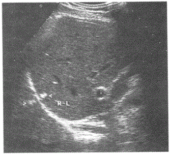
请指出下图箭头所指是何种声像图伪像:A.旁瓣伪像B.多重反射C.镜面伪像D.混响伪像

作者: rantiku 人气: - 评论: 0
问题 请指出下图箭头所指是何种声像图伪像:
选项 A.旁瓣伪像 B.多重反射 C.镜面伪像 D.混响伪像
答案 C
解析

猜你喜欢

发表评论
更多 网友评论0 条评论)
暂无评论

访问排行

Copyright © 2012-2014 恰考网 Inc. 保留所有权利。 Powered by tikuer.com

页面耗时0.0297秒, 内存占用1.03 MB, Cache:redis,访问数据库19次