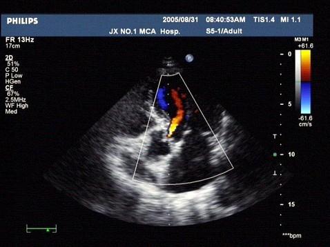
如图,初步超声诊断为?(?)A.二尖瓣返流B.三尖瓣返流C.主动脉瓣返流D.肺动脉瓣返流E.主动脉瓣狭窄

作者: rantiku 人气: - 评论: 0
问题 如图,初步超声诊断为?(?)
选项 A.二尖瓣返流 B.三尖瓣返流 C.主动脉瓣返流 D.肺动脉瓣返流 E.主动脉瓣狭窄
答案 C
解析

猜你喜欢

发表评论
更多 网友评论0 条评论)
暂无评论

访问排行

Copyright © 2012-2014 恰考网 Inc. 保留所有权利。 Powered by tikuer.com

页面耗时0.0385秒, 内存占用1.03 MB, Cache:redis,访问数据库20次