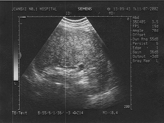
男,35岁、有淋巴瘤病史。结合超声声像图,诊断为?(?)A.脾转移性肿瘤B.脾结核C.脾包虫病D.脾梗死E.脾脓肿

作者: rantiku 人气: - 评论: 0
问题 男,35岁、有淋巴瘤病史。结合超声声像图,诊断为?(?)
选项 A.脾转移性肿瘤 B.脾结核 C.脾包虫病 D.脾梗死 E.脾脓肿
答案 A
解析

猜你喜欢

发表评论
更多 网友评论0 条评论)
暂无评论

访问排行

Copyright © 2012-2014 恰考网 Inc. 保留所有权利。 Powered by tikuer.com

页面耗时0.0531秒, 内存占用1.03 MB, Cache:redis,访问数据库20次