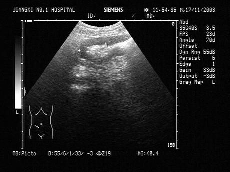
患者,男,右下腹有压痛,时有腹泻。结合超声声像图,诊断是?(?)A.溃疡性结肠炎B.结肠癌C.阑尾脓肿D.肠结核E.肠梗阻

作者: rantiku 人气: - 评论: 0
问题 患者,男,右下腹有压痛,时有腹泻。结合超声声像图,诊断是?(?)
选项 A.溃疡性结肠炎 B.结肠癌 C.阑尾脓肿 D.肠结核 E.肠梗阻
答案 B
解析

猜你喜欢

发表评论
更多 网友评论0 条评论)
暂无评论

访问排行

Copyright © 2012-2014 恰考网 Inc. 保留所有权利。 Powered by tikuer.com

页面耗时0.0507秒, 内存占用1.03 MB, Cache:redis,访问数据库20次