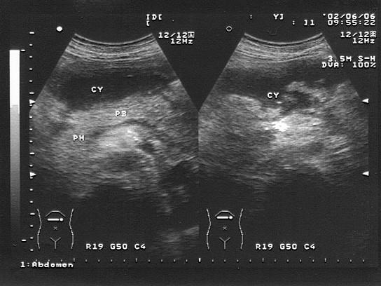
女,20岁,上腹痛并呕吐,入院诊断“急性胰腺炎”。结合超声声像图,诊断为?(?)A.胰腺脓肿B.胰腺假性囊肿C.胰腺囊肿D.胰囊肿性腺瘤 ...

作者: rantiku 人气: - 评论: 0
问题 女,20岁,上腹痛并呕吐,入院诊断“急性胰腺炎”。结合超声声像图,诊断为?(?)
选项 A.胰腺脓肿 B.胰腺假性囊肿 C.胰腺囊肿 D.胰囊肿性腺瘤 E.胰腺癌
答案 A
解析

猜你喜欢

发表评论
更多 网友评论0 条评论)
暂无评论

访问排行

Copyright © 2012-2014 恰考网 Inc. 保留所有权利。 Powered by tikuer.com

页面耗时0.0429秒, 内存占用1.03 MB, Cache:redis,访问数据库19次