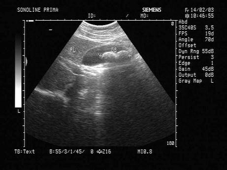
男,46岁,上腹经常疼痛不适十多年,加重2天。声像图如图所示,诊断为?(?)A.胆囊蛔虫B.胆囊多发性腺瘤C.胆囊多发性结石D.胆囊胆汁淤...

作者: rantiku 人气: - 评论: 0
问题 男,46岁,上腹经常疼痛不适十多年,加重2天。声像图如图所示,诊断为?(?)
选项 A.胆囊蛔虫 B.胆囊多发性腺瘤 C.胆囊多发性结石 D.胆囊胆汁淤积 E.胆囊多发息肉
答案 C
解析

猜你喜欢

发表评论
更多 网友评论0 条评论)
暂无评论

访问排行

Copyright © 2012-2014 恰考网 Inc. 保留所有权利。 Powered by tikuer.com

页面耗时0.0591秒, 内存占用1.03 MB, Cache:redis,访问数据库13次