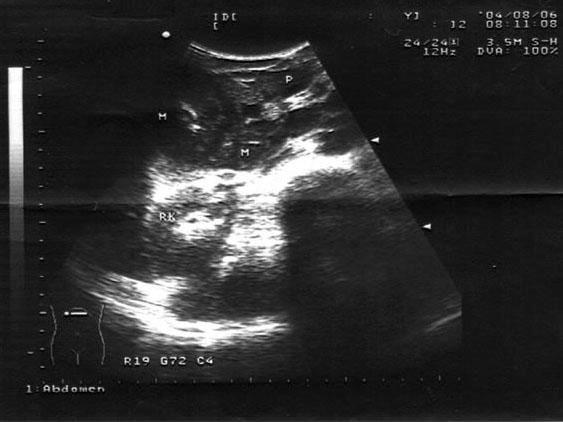
男,16岁,转移性右下腹痛数小时。麦氏点压痛(+),肠鸣音减弱。结合超声声像图,诊断为?(?)A.输尿管结石B.肠套叠C.肠梗阻D.急性阑...

作者: rantiku 人气: - 评论: 0
问题 男,16岁,转移性右下腹痛数小时。麦氏点压痛(+),肠鸣音减弱。结合超声声像图,诊断为?(?)
选项 A.输尿管结石 B.肠套叠 C.肠梗阻 D.急性阑尾炎 E.回盲部肿瘤
答案 D
解析

猜你喜欢

发表评论
更多 网友评论0 条评论)
暂无评论

访问排行

Copyright © 2012-2014 恰考网 Inc. 保留所有权利。 Powered by tikuer.com

页面耗时0.0423秒, 内存占用1.03 MB, Cache:redis,访问数据库20次