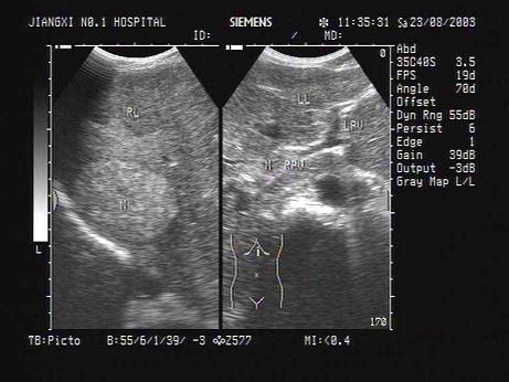
某患者肝脏声像图表现,最可能的诊断是?(?)A.肝转移癌B.原发性肝癌并门脉癌栓C.弥漫性肝癌D.肝硬化并门脉海棉样变性E.肝硬化并门...

作者: rantiku 人气: - 评论: 0
问题 某患者肝脏声像图表现,最可能的诊断是?(?)
选项 A.肝转移癌 B.原发性肝癌并门脉癌栓 C.弥漫性肝癌 D.肝硬化并门脉海棉样变性 E.肝硬化并门脉血栓形成
答案 B
解析

猜你喜欢

发表评论
更多 网友评论0 条评论)
暂无评论

访问排行

Copyright © 2012-2014 恰考网 Inc. 保留所有权利。 Powered by tikuer.com

页面耗时0.0459秒, 内存占用1.03 MB, Cache:redis,访问数据库20次