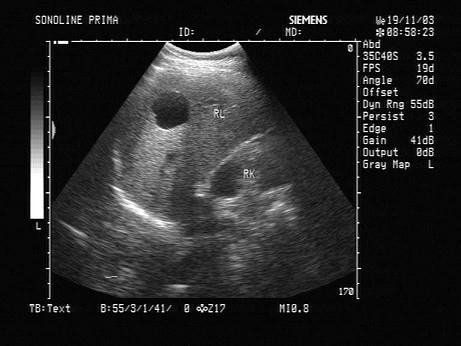
男,30岁。根据超声声像图,可诊断为?(?)A.肝囊肿B.肝包虫病C.肝血管瘤D.局限性脂肪肝E.肝脓肿

作者: rantiku 人气: - 评论: 0
问题 男,30岁。根据超声声像图,可诊断为?(?)
选项 A.肝囊肿 B.肝包虫病 C.肝血管瘤 D.局限性脂肪肝 E.肝脓肿
答案 A
解析

猜你喜欢

发表评论
更多 网友评论0 条评论)
暂无评论

访问排行

Copyright © 2012-2014 恰考网 Inc. 保留所有权利。 Powered by tikuer.com

页面耗时0.0334秒, 内存占用1.03 MB, Cache:redis,访问数据库20次